北京仁雁口腔医院怎么样?有什么真实的案例吗?
随着大众生活的不断发展,变美越来越受人喜爱,有不少姐妹问过整形机构怎么样?以下是北京仁雁医疗详细介绍。
医院简介北京仁雁口腔医院是一所集口腔的修复、矫正以及相关的美容于一身的一个口腔的专科的诊所,致力于为每一位患者提供优质的口腔诊疗服务。洁净典雅、舒适温馨的医疗环境,深受业界专家及患者好评!仁雁口腔门诊部的坐诊医师都是从事多年口腔诊疗工作的专业技术人员,具有丰富的临床经验和丰富的技术水平,并在业界获得认可。北京仁雁医疗美容诊所是一所标准化的微型的机构,不但是有一个的整形配置,还汇聚了众多国内整形专家。北京仁雁美容门诊部是精于,用心的机构,再加之诸多的超大的诊室和技术的服务中心,为前来整形的用户给予一个细致的差异化的服务和一个私人的顾问服务。

仁雁一直以顾客满意为宗旨,秉承以实际果说话的执业理念,为广大口腔病人提供一站式牙齿管理解决方案,目前已成功成为政商名流,文体明星、国际友人、都市白领、退休干部等很多的人实现了健康回归!仁雁真诚为您牙齿健康保驾护航!

牙齿泛黄,这是大家都会面临的一个问题,发生这种事情之后,大家第一个想到的就是去做牙齿美白,这样就能让大白牙回来了。

但是大伙儿在选择医院的时候,还是得小心谨慎,毕竟不同的医疗机构,用同一种方法做出来的果也是会有偏差的,所以大家一定要为自己负责。
口腔方面知名的医疗机构有很多,仁雁口腔就是其中之一,这家机构也是挺有名气的,很多人都会在此进行口腔方面的治疗。
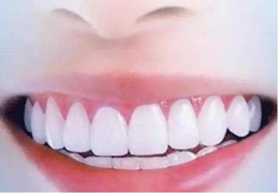
当时张天笑就是在仁雁口腔做的牙齿美白,所以大家才能看见她那无拘无束的笑容,为了展示仁雁口腔的技术,我们一起来看看她是如何改变的吧。
张天笑的牙齿在较初有点黄黄的,这让爱笑的她很尴尬,为了解决这种情况,她较终选择了做牙齿美白治疗,选的就是仁爱口腔。
在治疗较初的时候,医生往张天笑的牙齿上,涂抹了一些东西,具体是啥我也说不上来,应该是一种保护液吧。
原本张天笑以为整个手术只需要花不到半小时就能完成,结果没想到却花了一个多小时,虽然时间是久了点,但是做出来的果确实较为好。
整个治疗做完了之后,张天笑并没有什么不适,还不过牙结石这些清除掉了,整个牙龈感觉有点空荡,所以这段时间她为了让其恢复,专门吃得特别地清淡,唯恐刺激到了牙龈。
这个状态大概持续了半个月的样子才得到了缓解,现在张天笑在笑的时候再也不会有尴尬的感觉,毕竟她现在的牙齿白皙闪亮,完全和之前两个样。
张天笑的前后变化足以证明仁雁口腔的实力,所以大家在选择的时候是完全可以放心的,肯定是能达到预期的果,只有给了充足的信任之后,果才能达到很好状态。

对于北京仁雁口腔,相信求美者已经有所了解,目前仁雁口腔正在采用的手术室,就是采用国标的空气净化技术,从而为广大爱美人士创造一个舒适、没问题、清洁的手术环境。这样就完全满足了爱美人群的审美需要。
还有整形疑惑?想了解更多整形医院价格信息?可以点击【在线咨询】与整形顾问一对一沟通,免费为您提供医院对比、医生对比、价格对比等服务喔~!
