张益医生怎么样?张益医生在哪家医院?张益医生案例分享
主治医师,1984年毕业获学士学位证书;1990年获临床博士学位。依次在瑞士伯尔尼高校、日本朝日高校、英国伦敦大学学习培训。口腔颌骨创伤管理中心负责人,整形美容外科修复重建委员会颅面外科组副主任;北京医学会会员;军队总后勤部;《国际口腔颌面外科杂志》编辑委员会;医疗事故纠纷技术检查组成员。

北大口腔医院是我国好的的集口腔医药学研究室,口腔医科院,口腔医院三位于一体的管理机制。致力于以高质量的诊疗特点,高质量的教学水平,高质量的科学研究销售业绩,高质量的人才的培养,高质量的服务项目,作为发展趋势的目标,基本建设智能化医院门诊、迈向国际性的医院。在诸多部门中,以牙齿矫正科、口腔恢复科、颌面外科为其特点专业。将相互配合好的的设备仪器,技术专业的合理布局整体规划,个性化的关键点考虑到,为智能化医院门诊出示硬件配置升级。是一家较为有名,并且拥有诸多优点的口腔医师。自创立后就发布了多种多样的服务项目,很多年来也协助了很多的病人改进了口腔的难题,是时下的用户评价医院门诊。有着不一样的诊治管理中心,还塑造了一大批复合型人才,善于的口腔医治服务项目多种多样,那样病人还可以在挑选后完全地改进自身的口腔,牙齿问题。

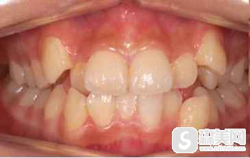
我与生俱来牙齿不齐,伴随着年纪的提高,牙齿突出愈来愈显著,造成我的嘴看见就有点儿凸了,严重影响脸部的形象,因此我打算去北大口腔医院做牙齿矫正,我预定的是张益医生,到医院门诊后,医院门诊的护理人员都挺激情的,随后立即和医师碰面开展了一些沟通交流后,随后拍了影片,发觉有二颗必须拔出,我选的是半隐形牙套,下面便是拔牙齿,拔完之后就带着隐形的牙套,一开始不习惯,慢慢地就习惯了。

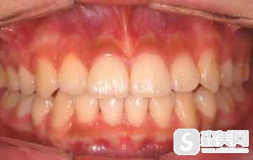
手术后三个月,今日来医院门诊进行调解,看起来整齐了许多,嘴唇也觉得不同了,十分高兴,我更有信心的再次坚持不懈纠正下来,一定会有一口整齐的牙齿!并且我发现了由于矫正牙齿后进食并不是十分便捷的,脸也瘦了,医生说是因为咀嚼肌健身运动受到了一点抑制,因此咬肌变小了脸也会瘦,这个是一切正常状况,等以后摘了矫正器,咬合一切正常了咀嚼肌健身运动多了又会增大的,这个意外的瘦脸果也挺不错的。

手术后一年了,又来给大伙儿共享了,如今整齐地很自然,拥有整齐的牙齿后,微笑也大量,因为以前牙丑都不去放纵地笑,并且更关键的是牙齿畸形移位对口腔健康也不太好的,较为容易让不干净的东西残余在牙缝中,因此牙有什么问题的话要及时地医治,较终也很谢谢北大口腔的张医生,我的牙齿变得这么完美。
还有整形疑惑?想了解更多整形医院价格信息?可以点击【在线咨询】与整形顾问一对一沟通,免费为您提供医院对比、医生对比、价格对比等服务喔~!
