5000块能做烤瓷牙吗?做完果怎么样?
当今时代,每个人都追求美。毕竟,美丽是每个人都梦想的,也给自己增加了很多优势。当然不仅仅是脸好看,牙齿也很重要。牙齿整齐的时候,会给你整个人增添自信。但是,也有很多人因为牙齿好看而自卑。所以你一定要问能做什么来修复?较近了解了一下瓷牙。我来介绍一下。

一、制作瓷牙的一个全流程
首先第一步是磨牙,就是要做出和原牙一样厚度的烤瓷牙套的状态。另外,也是为了固定好,穿上之后更牢固。第二步取模,医生一定要准确做好多方面记录,取出精细打印胶片。第三步,进行色彩对比。为了和自己牙齿的颜色相近,就要比较比较相近的颜色,这样用这种方法做出来的瓷牙在自然光下才能更贴合。第四步,试穿。这时就要检查边缘是否合适,然后观察形状的美观程度。所有的工作都被认为完成了。

第二,瓷牙的价格
瓷牙种类繁多,价格从100元到几千元不等。主要在于它的材质不同,合金瓷比较便宜,银钯合金价格略高,金合金瓷较贵。还有一种说法是这些材料也分国产的或者进口的,所以价格差别还是很大的,但是你可以放心,只要是正规医院,它的收费是合理的,所以你要做瓷牙,一定要去正规医院详细咨询,了解你要做的材料,让医生给较专业的建议。

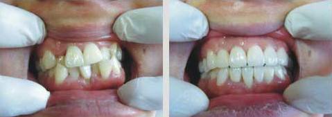
第三,瓷牙的果
烤瓷冠是一种可以修复牙齿的技术,在当今社会已经较为流行。烤瓷熔附牙可以使有缺陷的牙齿,包括一些不白然后不规则的牙齿,变得更加美观。他主要是用金属或陶瓷作为材料制作合适的假牙,然后将假牙插入牙龈,从而改变牙齿的美观。基本上烤瓷完成后,可以保存近10年,时间长度也长。反之,如果你不爱护你的瓷牙,每天保持口腔清洁,它的寿命自然会缩短。所以做瓷牙的话,后期的护理一定要慎重。

有的人刚戴上瓷牙就会觉得有点格格不入。其实这很正常,需要耐心练习。然后一开始就应该吃点软的,然后就能习惯了。然后,只要定期去医院检查,基本上不会有问题。另外,刚戴瓷牙的时候,不能吃太热的食物,也不能吃太冷的食物。
还有整形疑惑?想了解更多整形医院价格信息?可以点击【在线咨询】与整形顾问一对一沟通,免费为您提供医院对比、医生对比、价格对比等服务喔~!
文章标题:5000块能做烤瓷牙吗?做完果怎么样?
相关文章
-
长春烤瓷牙的价目表2021,烤瓷牙的果好不好?内附较新烤瓷牙的价目表
前段时间在长春的口腔整形机构进行了面诊,感觉就诊的环境较为好,而且工作人员也是很有礼貌很热情的。在对我的牙齿做了检查以后,拟定了几个治疗方案,没有任何强行推销的目
2021-04-18 -
星沙做的烤瓷牙果怎么样?附前后对比图
我和很多的年轻女孩子都一样吧,就是有一个爱美的心。前几年呢,我就在一家口腔医院做过便宜的烤瓷牙,看起来还是较为漂亮的,也为自己的形象加了很多的分,但今年我感觉有些
2021-02-27 -
义乌烤瓷牙哪家好?烤瓷牙价格在多少钱?
20世纪80、90年代以来,烤瓷熔附金属牙逐渐进入中国口腔医学领域,弥补了汞合金、塑料冠、可摘义齿等传统修复方法在美观、方便等方面的不足,逐渐成为中国牙医的选择。 从材料上
2021-01-10 -
从小不注重口腔卫生,这龋齿可把我害惨了
牙齿健康问题是我较大的困扰,龋齿造成的牙洞每次在吃饭的时候都会塞的满满的,会使整个牙齿变得胀胀的特别难受,而且还经常性的出现牙疼的症状。每一次牙疼都特别的难受,吃
2020-12-12 -
较好的烤瓷牙到底要多少钱,大学生的我能负担
小时候因为对牙齿护理不到位,出现了很多的氟斑牙,牙又黑又黄特别的难看。小时候周围很多孩子都是这样的,所以也没有感觉到尴尬。到了大学以后,我的牙齿就成了另类,周围充
2020-12-10





