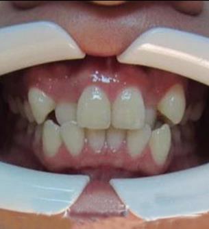
在新疆整形医院徐文飞做的牙齿矫正让我拥有了自信,附前后对比图
其实我自身的牙齿情况还是比较整齐的,就是前面的牙齿有点前突,来到新疆整形医院后,徐云飞医生说我的牙齿还存在着覆盖的情况,所以才令我每次大笑的时候都致使我的牙龈露出来,真的让我很难为情。在好几年之前我就有了矫正的想法,但是这几年工作真的太忙了,时间上真的不允许我做整形,现在我的工作已经轻松很多了,我决定开始我的牙齿矫正。

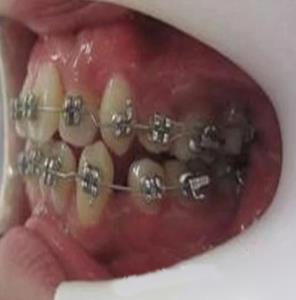
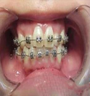
一开始医生让我印了牙膜,然后开始给我分析治疗方案,后来直接让我进行了拔牙,不得不说,拔牙的过程真的有些心酸,拔牙之后每天都感觉有空气进入我的口腔之内呢,而且吃东西也受到了影响。那几天我就更不敢说话了,因为一说话就能让人看到我牙齿很糟的这种情况,之后就把整个的托槽给固定上了,刚开始戴上牙套的时候,牙齿比较酸痛,然后也不怎么美观,为了自己能够变化的更好,我现只可适应如今的一个生活了。

因为做了牙齿矫正,所以我对食物更加的挑剔了,我不能吃那些太硬的,只能吃一些软软的,由于前几天各种的不适应吧,我只是吃了一点米粥,和各式各样的汤。每次吃完食物之后,又要对口腔进行一个清洁,在术前的半个月吧,经常会出现牙龈出血等一些问题,后来咨询了医生,医生说这是正常情况,要我好好的注意清洁,吃东西的时候也特别注意一下,真的觉得矫正有些不容易。

时间是过得飞快的,转眼间,自己在佩戴牙套已有一个半年的时光了,确实是很庆幸自己当初做了这个决定,现在我已经没有了牙缝,带了这么长时间的牙套也感觉习惯了,关键是享受到每一个阶段的变化,每次医生给我调整之后,牙齿都在慢慢的聚拢。所以说在这里提醒各位小仙女们,如果你的牙齿和我的情况一样,那么一定要积极的治疗,因为胜利就在我们的不远方等待着,不过在这里提醒一定要找正规的医院作用。

一年后医生正式宣布我的牙套可以摘掉了,摘掉牙套的那一刻,整个人真的较为轻松,但有些不习惯了,因为这个牙套已经在我的牙齿上呆了这么长时间,也成为了我的一部分。现在我拥有了灿烂的笑容,终于敢大声说话,肆无忌惮的笑了,没做整形之前,随着年龄的增大也受到了牙齿的影响,我越来越自卑,现在的我终于没有了自卑的情况,整个人也越来越自信了,朋友们说我笑起来就像一朵花一样美丽,有的时候称赞了我,有些不好意思,但我实质上是享受的。要不说爱笑的女生都有幸运的事情呢,目前我在工作当中越来越顺利,较近还有人在追求我们正在考虑当中哈哈。
还有整形疑惑?想了解更多整形医院价格信息?可以点击【在线咨询】与整形顾问一对一沟通,免费为您提供医院对比、医生对比、价格对比等服务喔~!
相关文章
-
西京医院做的牙齿矫正案例曝光!坐诊医生梁伟医生的技术如何?附医院介绍
整容手术能让一个人的外貌更加美丽。为什么会这样?由于整容能让人更自信,而自信让人更快乐。这种快乐对成功和幸福的生活更有好处,所以现在越来越多的人希望通过整容手术让自
2021-10-15 -
贵阳市口腔医院价格表查询,附牙齿矫正案例
美的塑造需要一定的经验和技巧,所以当一些求美者决定做整形手术时,不要盲目急于做手术,术前选择医院也很重要。比如贵阳口腔医院就是求美者可以信任的专业医院。医院成立以
2021-09-02 -
武义口腔医院整牙多少钱?牙齿矫正真实案例及术后照片分享
大概谁都愿意做一个完美的人吧!对于这个愿望,我也是做出了许多的努力,之前对于皮肤百万的呵护,又对于自己的身材严格要求起来,现如今对于自己的牙齿不满,自然而然要进行改
2021-07-29 -
昆山同济口腔医院价目表2021,含牙齿矫正真实案例分享及照片对比
这是因为我已经是成年人,所以我更加应该在乎一下自己的颜值,我自认为自己的五官长得也不算丑吧,但是却在牙齿这方面输了优势,所以我较终还是来到了昆山同济口腔医院,在这
2021-07-25 -
青海矫正牙齿做的好的医院是哪家?张锦意口腔排第一!
每个城市都不缺整形医院,但是找一家好的整形医院并不是那么简单。我在青海访问了很多牙科的医院,经过多方面的比较,我认为青海矫正牙齿的好医院还是比较多的。下面这家医院
2021-07-25 -
西京医院口腔科医生做的牙齿矫正案例速看!一览半年内的果!
现在整形医院已经遍布全国了,各国城市都有,但是每家医院的情况是不一样的,但是发展都还不错的,但是选择正规的医院还是必不可少的,西京医院怎么样?我们一起来看。 一、西
2021-08-04 -
贵阳市口腔医院价目表2021,附牙齿矫正案例
我的牙齿我早就意识到存在问题,嘴不仅秃也影响了侧面的颜值,所以说早我也就想要做矫正,小的那个时候我父母也提过矫正,但是那个时候我经常怕痛,我又害怕矫正的时间过于长
2021-07-20 -
徐州四院整牙做的好吗?通过牙齿矫正让自我拥有好的状态开森!
说我个人有什么问题毋庸置疑的,就是自己的牙齿实在是太难看了,而且还有一种往外凸的情况。年纪小的时候并不以为这是一种问题,而且也觉得整牙实在是太可怕了,那个时候父母
2021-07-17 -
上海第九人民医院口腔科价格表查询,专家介绍及牙齿矫正案例
其实对于我们口腔的健康也息息关联着我们身体的健康,如果说口腔出现一些问题,不仅会影响健康也会影响形象,比如说牙齿畸形的问题,或者是牙齿较为黄的一些问题,这些问题都
2021-07-16









